Dental Implants
How Can We Help
We provide expert dental care, ensuring healthy, bright, and confident.
Working Hours
Monday - Friday
9:00AM - 5:30PM*
Saturday : Appointments available to arrange individually
Sunday
closed
* Lunch break: 1:00PM - 2:00PM
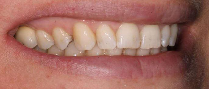
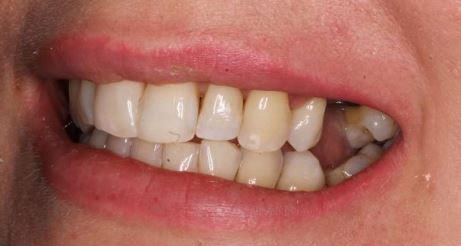
Why Choose a Single Dental Implant?



Losing a tooth can be a distressing experience, affecting how you eat, speak, and smile. While bridges and dentures are traditional options, a dental implant is the only solution that replaces the entire structure of the tooth, including the root.
At our practice, we focus on Single Tooth Implants, providing a fixed, lifelong replacement that looks and feels indistinguishable from your natural teeth.
The Benefits of Implants
- Preserve Your Natural Teeth: Unlike a bridge, an implant doesn’t require us to grind down the healthy teeth next to the gap.
- Prevent Bone Loss: When a tooth is lost, the jawbone can begin to shrink. An implant stimulates the bone, maintaining your facial structure.
- Eat with Confidence: Implants are anchored into the bone, meaning you can eat apples, steak, and crusty bread without worrying about movement.
- Long-Term Value: With proper care, a dental implant can last a lifetime, making it a cost-effective long-term investment.
The Procedure: What to Expect
Assessment & Imaging
We use precise scans to ensure your jawbone is healthy enough for an implant.
Placement
The titanium implant "post" is gently placed into the jaw under local anaesthetic.
Healing (Osseointegration)
Over a few months, your bone naturally grows around the post, creating a rock-solid foundation.
The Final Crown
Once healed, we attach a custom-made porcelain crown, color-matched to your surrounding teeth for a seamless finish.
Smile Makeovers & Health Success Stories
Complete Dental Care Under One Roof
How does implant work?
Dental implants act as replacement tooth roots to which a new crown (the tooth visible above the gum) or bridge (a restoration for multiple missing teeth) can be screwed or cemented. They can also be used in smaller numbers to support and secure removable dentures, often via ‘press-stud’ attachments or a bar. Because implants are anchored in the jawbone, they provide superior stability and retention for prosthetics such as crowns, bridges, and dentures.
Where single teeth have been lost, implants replace both the tooth and the root as an individual unit, preserving and protecting the neighboring teeth.
Implants are not an instant solution; they require careful planning, skilled placement, a healing period, the fabrication of the new teeth, and long-term maintenance. They require a significant commitment from the patient and skilled execution by the clinician.
What are the possible complication and how do I spot them?
As with all minor surgical procedures, immediate risks include bleeding, bruising, swelling, post-operative discomfort, and infection. Certain local anatomical structures are taken into consideration during treatment planning; any individual risks will be discussed with you by your dentist as part of the planning and consent process.
Although dental implants are a long-term tooth replacement option, they are not necessarily permanent and are not without potential complications. Issues may occur at a later stage, as implants are subject to biological processes including healing, infection, and rejection within the oral environment. Implants can experience early failure (where they fail to fuse with the jawbone) or late failure (where, like natural teeth, they are affected by gum disease).
Gum disease around dental implants is termed ‘peri-implant mucositis’ (when no bone loss is present) or ‘peri-implantitis’ (when bone loss has occurred). These conditions are diagnosed through clinical examination and X-rays. Treatment of peri-implant disease can be challenging; it typically involves improved self-performed cleaning alongside professional treatment from your dental team.
Signs of complications with your implant and/or prosthesis may include:
- Looseness of the implant or prosthesis: This may indicate a mechanical or biological issue that requires immediate attention.
- Pain, bleeding, or a bad taste: These symptoms could indicate infection or gum disease (peri-implant mucositis or peri-implantitis). Your prosthesis is designed to allow for effective cleaning around the area.
- Chipping, fracture, or wear: Like natural teeth, the prosthetic components may experience wear or damage over time.
Who can have implants?
Dental implants are suitable for most adults with fully developed jawbones, provided they are free from dental disease and in good general health. Patients must also have the financial means to facilitate the placement, restoration, and long-term maintenance of the implants, as this is primarily a private treatment option.
Who cannot have implants
Untreated or active disease can lead to the failure of the implant or prosthesis and may exacerbate existing conditions. Active gum disease must be controlled through treatment or tooth extraction prior to implant therapy. While implants can be successfully placed in patients susceptible to gum disease, the condition must be stable, and an excellent level of oral hygiene must be maintained to reduce the risk of complications. Discussing your oral hygiene and gum health with your dental team is a vital part of the preparation and consent process.
Implants are not suitable for young adults who have not finished growing. Because an implant does not grow with the rest of the body, it can become “submerged” or “left behind” in the jaw as it develops, leading to poor aesthetics and restorative difficulties later. Caution should be exercised with younger adults, and these risks must be discussed during the consent process.
Active heavy smoking and high alcohol consumption significantly increase the risk of implant failure and poor healing.
Certain medical conditions and medications may make implants unsuitable. It is essential to discuss your full medical history and individual circumstances with your dentist.
Implants are not advisable if the patient is unable to finance both the initial treatment and the necessary long-term maintenance costs.
How long do implants last for ?
While dental implants are a long-term solution for replacing missing teeth, they should not be considered permanent. With proper care and maintenance, they can typically be expected to last 10–20 years before requiring retreatment. However, the prosthetic crown, bridge, or denture may need replacement at more regular intervals, dependent on the specific circumstances of the individual patient. Implants require consistent monitoring by a clinician, a diligent self-care regimen, and regular professional maintenance.
How are implants maintained ?
Effective self-care is the most important factor in maintaining your implants. Because the placement of dental implants and their restorations can make oral hygiene more challenging, your clinician will provide customized instructions tailored to your individual needs. It is essential that bacterial plaque along the gum line is kept to a minimum to prevent inflammation, disease progression, and potential loss of the implant.
Your dentist will support this process by ensuring the shape of the prosthesis allows for adequate cleaning access.
Regular professional surveillance and maintenance are required. A dental hygienist may need to see you frequently to ensure optimum plaque control and to provide guidance on self-care techniques and products, such as specialized interdental brushes and floss.
Occasionally, fixed prostheses must be removed to facilitate deep professional cleaning.
For those with removable options, denture care is vital for maintaining healthy oral tissues and preventing plaque-induced disease. Because implants are often hidden beneath the denture base, the material can encourage bacterial plaque to accumulate. Specific care regimens will be recommended depending on the materials used in your restoration.”